안녕하세요, 울산 아이유치과교정과치과의원 대표원장 김형문입니다.
오늘은 투명교정장치 인비절라인에 대해 알아보겠습니다.
| 인비절라인이란? |
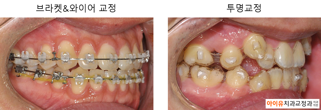
일명 철길이라고 불리는 브라켓과 달리 환자 스스로 끼웠다 뺐다 할 수 있는 투명한 재질의 장치를 투명교정 장치라고 일컫습니다.

그리고 수많은 투명교정 장치 제작 회사 중 Align technology라는 회사가 만든 투명교정 장치를 Invisalign이라고 합니다.
Align technology사는 뛰어난 기술력과 검증된 제품으로 투명교정 시장을 선도하고 있으며 현재 휴대폰 시장의 삼성, 애플과 같은 위치라 보시면 되겠습니다.

| 인비절라인에 대한 우려 |
지난 2018년, '투명교정 전문'을 표방했던 서울의 한 대형치과가 갑작스럽게 폐업을 하면서 수많은 피해자가 속출한 적이 있습니다.

이 사건으로 인해 여러가지 문제가 발생하였는데, 그 중 가장 심각했던 것은 투명장치를 이용한 교정치료의 진행 상황 자체가 엉망이었다는 것이었습니다. 치료를 끝내지 못한 피해자들은 다른 치과를 찾아 마저 치료를 받았는데, 대부분 투명교정이 아닌 브라켓교정으로 전환하여 치료를 마무리지었습니다.
이로 인해 '투명교정은 나쁜 치료법이구나'라는 인식이 대중과 치과의사들 사이에 스며든 바 있습니다.
하지만 당시 교정치료의 진행 상태가 엉망이었던 이유는 투명교정에 대한 이해와 경험이 풍부하지 않은 뜨내기 의사를 중심으로 치료가 이루어졌기 때문입니다. 그리고 해당 치과는 검증되지 않은 다른 회사의 투명교정장치 및 시스템을 사용했기 때문에 인비절라인과는 무관한 사건이라 볼 수 있습니다.
| 인비절라인의 실제 치료 효과 |
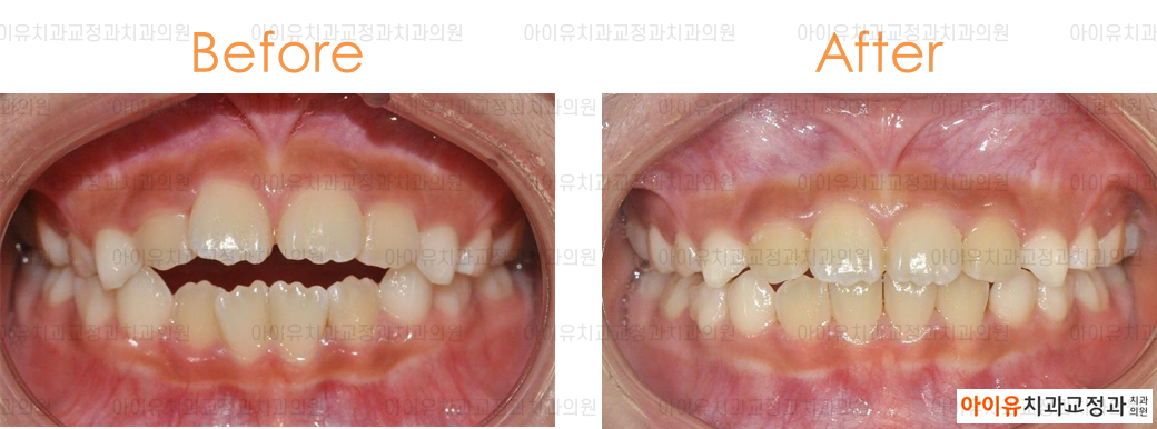
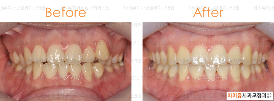
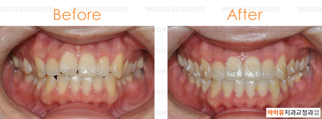
아래는 지난 몇 년간 울산 아이유치과에서 진행한 인비절라인 치료결과, 전후사진 중 일부입니다.

만7세 어린이 / 개방교합 / 치료기간 6개월 / 인비절라인 사용

만 23세 / 송곳니 덧니 / 치료기간 1년 / 인비절라인 사용

만 24세 / 앞니 비뚤함 / 치료기간 1.5년 / 인비절라인 사용
위의 치료 결과에서 알 수 있듯 대부분의 경우에서 투명교정은 기존의 브라켓 교정과 동일한 효과를 얻을 수 있습니다.
| 성공적인 인비절라인 치료를 위한 핵심 |
전통적인 방식의 브라켓 교정은 치과교정과전문의라면 누구나 할 수 있는 영역이지만 인비절라인의 경우 치과교정과전문의가 되기 위한 정규 교육 과정에 포함되어 있지 않기 때문에 교정전문치과에서 치료를 받는다 하더라도 무조건적인 성공을 보장받을 수는 없습니다.
따라서 교정전문치과 중에서도
1. 인비절라인에 대한 경험이 풍부하고
2. 글로벌갤러리에 등재된
치과를 찾아야 합니다.
첫째, 인비절라인에 대한 경험이 풍부한지 여부는 각 치과의 등급을 확인해 보면 알 수 있습니다.
인비절라인 회사측에서는 의사가 치료한 증례의 개수에 따라 아래와 같이 등급을 부여하며, 브론즈에서 다이아몬드로 갈수록 등급이 높아집니다.

아이유치과는 최고 등급인 다이아몬드로서 연 150케이스 이상을 치료하는 울산 최다 증례 치과입니다.
뿐만 아니라 네트워크 치과(OO치과 부산점, 대구점, 서울점 등)들의 합산 방식이 아닌, 1개 치과 단독 집계 방식으로 다이아몬드 등급을 달성하였기에 더욱 대단한 성과라고 자부할 수 있습니다.
둘째, 글로벌갤러리에 등재되었는지를 확인하여, 얼마나 높은 수준으로 치료결과를 만들어내는지도 평가해 보아야 합니다.
글로벌갤러리란, 인비절라인 본사가 직접 평가하여 세계적으로 치료가 가장 잘 된 케이스만을 선별하여 게시해 놓는 공간을 말합니다.
아이유치과는 글로벌갤러리에 등재된 경남 유일의 치과입니다.
단순히 많은 수의 환자를 치료하는 치과가 아닌, 환자 한명 한명 완성도 높은 결과를 만들어내는 치과임을 본사로부터 공식 인증받았습니다.


아이유치과 내부 인비절라인 집중치료실의 모습
| 글을 마치며 |
과거 일부 치과의 갑작스러운 폐업이나 실패했던 몇몇 케이스로 인해 지금도 인터넷상에는 투명교정을 만류하는 글과 영상을 자주 접하곤 합니다.
하지만 2022년 현재 인비절라인은 세계적으로 인정받는 훌륭한 치료법인 것만큼은 분명합니다.
다음 시간에는 인비절라인 투명교정의 원리에 대해 자세히 알아보는 시간을 갖겠습니다.
추운 겨울 다들 건강 조심하시고 아래 글들도 참고해 보시면 좋겠습니다. 감사합니다.
'어린이 인비절라인 - 인비절라인 퍼스트에 대하여' 보러가기 클릭

#울산치아교정 #울산교정치과 #울산치과 #울산교정 #울산인비절라인 #울산투명교정 #울산 #치과 #교정치과 #치아교정 #교정 #인비절라인 #투명교정 #덧니 #개방교합 #돌출입 #비발치 #발치 #아이유치과 #아이유치과교정과치과의원 #교정남
안녕하세요, 울산 아이유치과교정과치과의원 대표원장 김형문입니다.
오늘은 투명교정장치 인비절라인에 대해 알아보겠습니다.
| 인비절라인이란? |
일명 철길이라고 불리는 브라켓과 달리 환자 스스로 끼웠다 뺐다 할 수 있는 투명한 재질의 장치를 투명교정 장치라고 일컫습니다.
그리고 수많은 투명교정 장치 제작 회사 중 Align technology라는 회사가 만든 투명교정 장치를 Invisalign이라고 합니다.
Align technology사는 뛰어난 기술력과 검증된 제품으로 투명교정 시장을 선도하고 있으며 현재 휴대폰 시장의 삼성, 애플과 같은 위치라 보시면 되겠습니다.
| 인비절라인에 대한 우려 |
지난 2018년, '투명교정 전문'을 표방했던 서울의 한 대형치과가 갑작스럽게 폐업을 하면서 수많은 피해자가 속출한 적이 있습니다.
이 사건으로 인해 여러가지 문제가 발생하였는데, 그 중 가장 심각했던 것은 투명장치를 이용한 교정치료의 진행 상황 자체가 엉망이었다는 것이었습니다. 치료를 끝내지 못한 피해자들은 다른 치과를 찾아 마저 치료를 받았는데, 대부분 투명교정이 아닌 브라켓교정으로 전환하여 치료를 마무리지었습니다.
이로 인해 '투명교정은 나쁜 치료법이구나'라는 인식이 대중과 치과의사들 사이에 스며든 바 있습니다.
하지만 당시 교정치료의 진행 상태가 엉망이었던 이유는 투명교정에 대한 이해와 경험이 풍부하지 않은 뜨내기 의사를 중심으로 치료가 이루어졌기 때문입니다. 그리고 해당 치과는 검증되지 않은 다른 회사의 투명교정장치 및 시스템을 사용했기 때문에 인비절라인과는 무관한 사건이라 볼 수 있습니다.
| 인비절라인의 실제 치료 효과 |
아래는 지난 몇 년간 울산 아이유치과에서 진행한 인비절라인 치료결과, 전후사진 중 일부입니다.
만7세 어린이 / 개방교합 / 치료기간 6개월 / 인비절라인 사용
만 23세 / 송곳니 덧니 / 치료기간 1년 / 인비절라인 사용
만 24세 / 앞니 비뚤함 / 치료기간 1.5년 / 인비절라인 사용
위의 치료 결과에서 알 수 있듯 대부분의 경우에서 투명교정은 기존의 브라켓 교정과 동일한 효과를 얻을 수 있습니다.
| 성공적인 인비절라인 치료를 위한 핵심 |
전통적인 방식의 브라켓 교정은 치과교정과전문의라면 누구나 할 수 있는 영역이지만 인비절라인의 경우 치과교정과전문의가 되기 위한 정규 교육 과정에 포함되어 있지 않기 때문에 교정전문치과에서 치료를 받는다 하더라도 무조건적인 성공을 보장받을 수는 없습니다.
따라서 교정전문치과 중에서도
1. 인비절라인에 대한 경험이 풍부하고
2. 글로벌갤러리에 등재된
치과를 찾아야 합니다.
첫째, 인비절라인에 대한 경험이 풍부한지 여부는 각 치과의 등급을 확인해 보면 알 수 있습니다.
인비절라인 회사측에서는 의사가 치료한 증례의 개수에 따라 아래와 같이 등급을 부여하며, 브론즈에서 다이아몬드로 갈수록 등급이 높아집니다.
아이유치과는 최고 등급인 다이아몬드로서 연 150케이스 이상을 치료하는 울산 최다 증례 치과입니다.
뿐만 아니라 네트워크 치과(OO치과 부산점, 대구점, 서울점 등)들의 합산 방식이 아닌, 1개 치과 단독 집계 방식으로 다이아몬드 등급을 달성하였기에 더욱 대단한 성과라고 자부할 수 있습니다.
둘째, 글로벌갤러리에 등재되었는지를 확인하여, 얼마나 높은 수준으로 치료결과를 만들어내는지도 평가해 보아야 합니다.
글로벌갤러리란, 인비절라인 본사가 직접 평가하여 세계적으로 치료가 가장 잘 된 케이스만을 선별하여 게시해 놓는 공간을 말합니다.
아이유치과는 글로벌갤러리에 등재된 경남 유일의 치과입니다.
단순히 많은 수의 환자를 치료하는 치과가 아닌, 환자 한명 한명 완성도 높은 결과를 만들어내는 치과임을 본사로부터 공식 인증받았습니다.
아이유치과 내부 인비절라인 집중치료실의 모습
| 글을 마치며 |
과거 일부 치과의 갑작스러운 폐업이나 실패했던 몇몇 케이스로 인해 지금도 인터넷상에는 투명교정을 만류하는 글과 영상을 자주 접하곤 합니다.
하지만 2022년 현재 인비절라인은 세계적으로 인정받는 훌륭한 치료법인 것만큼은 분명합니다.
다음 시간에는 인비절라인 투명교정의 원리에 대해 자세히 알아보는 시간을 갖겠습니다.
추운 겨울 다들 건강 조심하시고 아래 글들도 참고해 보시면 좋겠습니다. 감사합니다.
'어린이 인비절라인 - 인비절라인 퍼스트에 대하여' 보러가기 클릭
#울산치아교정 #울산교정치과 #울산치과 #울산교정 #울산인비절라인 #울산투명교정 #울산 #치과 #교정치과 #치아교정 #교정 #인비절라인 #투명교정 #덧니 #개방교합 #돌출입 #비발치 #발치 #아이유치과 #아이유치과교정과치과의원 #교정남