안녕하세요, 아이유치과교정과치과의원 대표원장 김형문입니다.
지난 시간에 이어 오늘은 어린이를 위한 투명교정 장치, 인비절라인 퍼스트에 대하여 알아보겠습니다.
| 인비절라인 퍼스트란? |
유치과 영구치가 함께 존재하는 6~10세 어린이를 위한 교정치료를 '1차 교정치료'라고 하는데,
이러한 1차 교정을 위한 투명교정 장치를 '인비절라인 퍼스트'라고 부릅니다.
인비절라인 퍼스트를 제작하는 Align technology는 미국 소재의 글로벌 기업입니다.
| 인비절라인 퍼스트 치료 과정 |
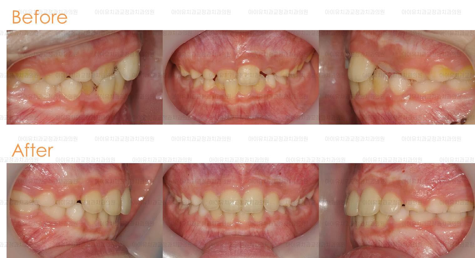
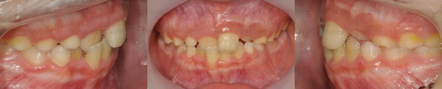
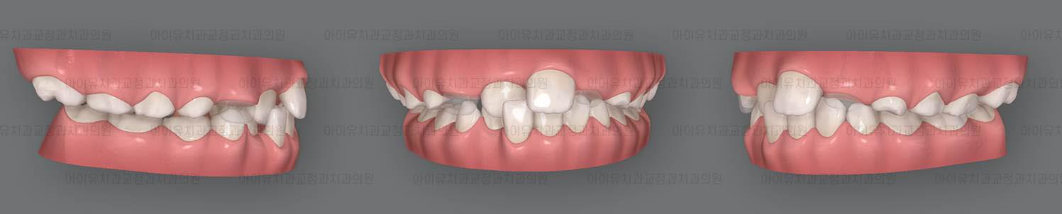
앞니 반대교합을 보이는 8세 어린이가 아이유치과에 방문하였습니다.
치료 전 구강 내 사진
* 반대교합이란?
하나 또는 그 이상의 윗니가 아랫니보다 뒤쪽(혀쪽)에 위치하는 비정상적인 교합 상태를 반대교합이라고 합니다.
반대교합을 방치하면 잇몸의 퇴축, 치아의 마모, 교합간섭으로 인한 턱관절의 장애 등이 발생할 수 있기 때문에 조기 치료가 필요합니다.
아이테로라는 첨단 장비를 사용하여 구강 내를 구석구석 스캔하면

구강 스캔을 하는 모습, 아이유치과 진료실
환아의 치아 및 잇몸의 형태를 3차원 디지털화 할 수 있습니다.
치료 전 구강 내 스캔 데이터
디저털화된 데이터를 이용하여 최종 목표 교합을 시뮬레이션해 봅니다.
치료 목표 가상 시뮬레이션
그리고 여러 단계에 걸쳐 치아를 천천히 이동시켜 목표 교합에 도달하도록 설정합니다.
총 24단계에 걸쳐 치아를 이동시켜보았습니다.
측면에서 바라본 시뮬레이션입니다.
여기까지 제가 작업을 하면 이제 인비절라인 회사에서
각 단계별 치열과 동일한 모양으로 투명교정 장치를 제작하여 한국으로 배송해 줍니다.

배송 받은 인비절라인퍼스트 장치
자 이제 순서대로 열심히 착용하기만 하면 됩니다.
보통 1단계당 일주일씩 착용하고, 식사나 칫솔질을 할 때를 제외하고 대부분의 시간동안 끼게 됩니다.
모든 단계의 장치를 열심히 착용하고 나면 어느덧 우리가 목표한 교합에 이르게 되죠.
이것이 바로 인비절라인퍼스트 치료입니다.
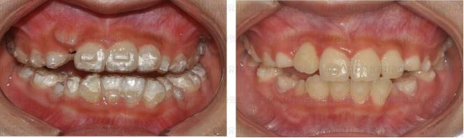
반대교합이 해소되고 가지런한 치열을 얻은 모습, 인비절라인퍼스트 사용, 치료기간 8개월
| 인비절라인 퍼스트의 장단점 |
모든 종류의 치료에는 장단점이 공존합니다.
[ 장 점 ]
1. 기존의 가철식 교정장치에 비해 부피가 작아 편합니다.

좌 - 기존의 가철식 교정장치 / 우 - 인비절라인 퍼스트
2. 고정식 브라켓을 사용하지 않기 때문에 칫솔질이 용이하여 충치 발생 위험이 낮아집니다.

좌 - 브라켓 교정 / 우 - 인비절라인 퍼스트

좌 - 인비절라인퍼스트 끼고 있을 때 / 우 - 뺐을 때(식사 시, 칫솔질 시에는 장치를 뺍니다.)
3. 투명하기 때문에 기존 장치에 비해 심미적입니다.
4. 장치의 부피가 작고 날카로운 부위가 없기 때문에 기존 장치에 비해 덜 불편합니다.
[ 단 점 ]
1. 인비절라인퍼스트 제작 비용이 발생하기 때문에 기존 장치에 비해 가격 부담이 큽니다.
가장 큰 단점입니다.
2. 모든 케이스에서 성공적인 결과를 가져다 주는 것은 아닙니다.
3. 의사의 역량에 따라 기대한 효과를 얻지 못할 수도 있습니다.
인비절라인 퍼스트에 대한 이해와 경험이 풍부한 의사를 찾아야 하는 수고가 따릅니다.
| 성공적인 인비절라인퍼스트 치료를 위해서는? |
전통적인 방식의 브라켓 교정은 치과교정과전문의라면 누구나 할 수 있는 영역입니다.
하지만 인비절라인의 경우 치과교정과전문의가 되기 위한 정규 교육 과정에 포함되어 있지 않기 때문에
교정전문치과에서 치료를 받는다 하더라도 무조건적인 성공을 보장받을 수는 없습니다.
따라서
1. 인비절라인에 대한 경험이 풍부한
2. 치과교정과전문의
를 찾아야 합니다.
인비절라인 회사측에서는 각 의사가 치료한 증례의 수에 따라 등급을 부여하기 때문에 손쉽게 이를 파악할 수 있습니다.
이에 대해서는 아래 글을 참고해 보세요.
감사합니다.
인비절라인 경험이 풍부한 치과를 찾는 방법
아이유치과 치료후기 바로가기
교정남 유튜브 채널 바로가기

안녕하세요, 아이유치과교정과치과의원 대표원장 김형문입니다.
지난 시간에 이어 오늘은 어린이를 위한 투명교정 장치, 인비절라인 퍼스트에 대하여 알아보겠습니다.
| 인비절라인 퍼스트란? |
유치과 영구치가 함께 존재하는 6~10세 어린이를 위한 교정치료를 '1차 교정치료'라고 하는데,
이러한 1차 교정을 위한 투명교정 장치를 '인비절라인 퍼스트'라고 부릅니다.
| 인비절라인 퍼스트 치료 과정 |
앞니 반대교합을 보이는 8세 어린이가 아이유치과에 방문하였습니다.
* 반대교합이란?
하나 또는 그 이상의 윗니가 아랫니보다 뒤쪽(혀쪽)에 위치하는 비정상적인 교합 상태를 반대교합이라고 합니다.
반대교합을 방치하면 잇몸의 퇴축, 치아의 마모, 교합간섭으로 인한 턱관절의 장애 등이 발생할 수 있기 때문에 조기 치료가 필요합니다.
아이테로라는 첨단 장비를 사용하여 구강 내를 구석구석 스캔하면
구강 스캔을 하는 모습, 아이유치과 진료실
환아의 치아 및 잇몸의 형태를 3차원 디지털화 할 수 있습니다.
디저털화된 데이터를 이용하여 최종 목표 교합을 시뮬레이션해 봅니다.
그리고 여러 단계에 걸쳐 치아를 천천히 이동시켜 목표 교합에 도달하도록 설정합니다.
총 24단계에 걸쳐 치아를 이동시켜보았습니다.
측면에서 바라본 시뮬레이션입니다.
여기까지 제가 작업을 하면 이제 인비절라인 회사에서
각 단계별 치열과 동일한 모양으로 투명교정 장치를 제작하여 한국으로 배송해 줍니다.
배송 받은 인비절라인퍼스트 장치
자 이제 순서대로 열심히 착용하기만 하면 됩니다.
보통 1단계당 일주일씩 착용하고, 식사나 칫솔질을 할 때를 제외하고 대부분의 시간동안 끼게 됩니다.
모든 단계의 장치를 열심히 착용하고 나면 어느덧 우리가 목표한 교합에 이르게 되죠.
이것이 바로 인비절라인퍼스트 치료입니다.
| 인비절라인 퍼스트의 장단점 |
모든 종류의 치료에는 장단점이 공존합니다.
[ 장 점 ]
1. 기존의 가철식 교정장치에 비해 부피가 작아 편합니다.
좌 - 기존의 가철식 교정장치 / 우 - 인비절라인 퍼스트
2. 고정식 브라켓을 사용하지 않기 때문에 칫솔질이 용이하여 충치 발생 위험이 낮아집니다.
좌 - 브라켓 교정 / 우 - 인비절라인 퍼스트
좌 - 인비절라인퍼스트 끼고 있을 때 / 우 - 뺐을 때(식사 시, 칫솔질 시에는 장치를 뺍니다.)
3. 투명하기 때문에 기존 장치에 비해 심미적입니다.
4. 장치의 부피가 작고 날카로운 부위가 없기 때문에 기존 장치에 비해 덜 불편합니다.
[ 단 점 ]
1. 인비절라인퍼스트 제작 비용이 발생하기 때문에 기존 장치에 비해 가격 부담이 큽니다.
가장 큰 단점입니다.
2. 모든 케이스에서 성공적인 결과를 가져다 주는 것은 아닙니다.
3. 의사의 역량에 따라 기대한 효과를 얻지 못할 수도 있습니다.
인비절라인 퍼스트에 대한 이해와 경험이 풍부한 의사를 찾아야 하는 수고가 따릅니다.
| 성공적인 인비절라인퍼스트 치료를 위해서는? |
전통적인 방식의 브라켓 교정은 치과교정과전문의라면 누구나 할 수 있는 영역입니다.
하지만 인비절라인의 경우 치과교정과전문의가 되기 위한 정규 교육 과정에 포함되어 있지 않기 때문에
교정전문치과에서 치료를 받는다 하더라도 무조건적인 성공을 보장받을 수는 없습니다.
따라서
1. 인비절라인에 대한 경험이 풍부한
2. 치과교정과전문의
를 찾아야 합니다.
인비절라인 회사측에서는 각 의사가 치료한 증례의 수에 따라 등급을 부여하기 때문에 손쉽게 이를 파악할 수 있습니다.
이에 대해서는 아래 글을 참고해 보세요.
감사합니다.
인비절라인 경험이 풍부한 치과를 찾는 방법
아이유치과 치료후기 바로가기
교정남 유튜브 채널 바로가기